Actualites

Fields trials sur Gibiers naturels: N' Del aux classements
29/11/2021
N'DEL présenté sur trois concours sur Gibiers naturels vient de se classer à deux reprises.
3eme TB au concours de Busloup et 1er TB à St Cyr du Gault.
Face &ag...

Nationale Elevage 2021
25/08/2021
Retour sur la nationale d’élevage de Trainou.
Cela faisait de nombreuses années que je n’avais pas participé à la nationale d’élevage des setter...

Photos
13/08/2021
Je vous invite à suivre mon actualité sur FACEBOOK où je poste régulièrement, de très nombreuses photos.

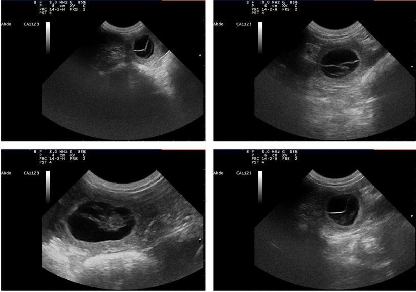
Diagnostique de Gestation
09/06/2021
Orka est bien gestante.
Mise bas prévue pour mi juillet.

De nombreuses photos des chiots de Noumaï dans l'onglet photos
24/05/2021
Vous découvrirez l'évolution des chiots de semaine en semaine

Seconde et dernière portée de programmée pour 2021
08/05/2021
La très jolie ORKA a rencontré le très bel N'DEL
Une magnifique portée en perspectives.

Naissance des chiots de Noumaï
13/04/2021
Les petits Sunshine's du bois de Balisy sont nés
6 mâles et 2 femelles .

Organdie
13/03/2021
Magnifique et douce chienne.
Très proche des hommes et des autres animaux de compagnie.
Parfaitement éduquée.
Egalement une Super chienne de chasse , très in...

Diagnostique de Gestation
13/03/2021
Noumaï est gestante
De très nombreuses réservations sont enregistrées.

Première portée en 2021
09/02/2021
Ce week end Noumaï a rencontré Octave.
Verdict par échographie dans trois semaines